Behandelplannen voor borstkanker met één druk op de knop
In het Catharina Ziekenhuis in Eindhoven is veel geautomatiseerd bij de radiotherapie voor borstkankerpatiënten. Het ziekenhuis beschikt over de meest precieze en slimme behandelapparatuur. Maar er zit tot nu toe nog veel handwerk in het maken van exacte bestralingsplannen en het intekenen van de organen van individuele patiënten. Dankzij onderzoek van PDEng-student Nienke Bakx van de Technische Universiteit Eindhoven komt daar nu verandering in.
Nienke Bakx begon zo’n tweeënhalf jaar geleden aan een afstudeeropdracht in het Catharina Ziekenhuis om onderzoek te doen naar het gebruik van kunstmatige intelligentie bij het plannen van bestralingen bij borstkankerpatiënten.

AI kan volgens het ziekenhuis de aanwezige expertise en ervaring van de medewerkers naar een volgend level brengen, legt Coen Hurkmans uit, klinisch fysicus van het Catharina en begeleider van Bakx. “Je moet die kennis dan wel eerst in data kunnen vangen. En daar komt de TU/e om de hoek. Daar zit de benodigde kennis van data-analyse en algoritmen”
Klinische tests
Na haar afstuderen ging Bakx verder als trainee van de post-masteropleiding Qualified Medical Engineer om haar planningsmethodiek ook uitgebreid klinisch te testen. Ook onderzocht de PDEng-student of het intekenen van organen van borstkankerpatiënten ook snel, accuraat en betrouwbaar kan met de computer.
Het resultaat van haar inspanningen is er inmiddels: vanaf dit voorjaar stapt de afdeling Radiotherapie van het Catherina Ziekenhuis deels over op AI-gegenereerde plannen. En dat gaat uiteindelijk ook gebeuren met het intekenen van organen. Het scheelt radiotherapeuten en laboranten straks uren werk per patiënt en zorgt voor meer consistentie, zegt Hurkmans.
Flight simulator
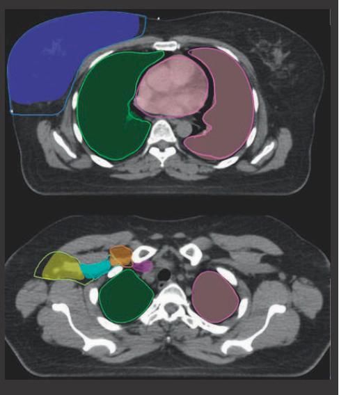
“Als mensen met borstkanker bestraald moeten worden, bekijkt de radiotherapeut wat precies nodig is: hoeveel doses, hoeveel sessies, met welke frequentie? Vervolgens moeten we zorgen dat de behandeling technisch ook goed wordt uitgevoerd. Daarvoor hebben we beelden van de patiënt nodig in de houding van de bestraling. Nu gebruiken we nog CT-beelden, dat worden in de nabije toekomst ook vaker MRI-beelden. Op de beelden worden de organen heel precies ingetekend.
Vervolgens bootsen we in een soort flight simulator virtueel na hoe we willen bestralen: van welke kant en met welke intensiteit, zodat er zoveel mogelijk straling in de tumor komt en zo weinig mogelijk daar omheen.”
In de simulator zit een model van de behandeltoestellen plus beelden van de anatomie van de individuele patiënt. Een ervaren planningslaborant maakt vervolgens een bestralingsplan. Dat werk is te automatiseren. Zorgprofessionals kijken vanzelfsprekend met een zeer geoefende blik. Kunstmatige intelligentie is een praktische en efficiënte manier om hun kennis en ervaring vast te leggen, door te rekenen en te interpreteren. Stop tientallen, eerder gemaakte planningen in een model en train de computer om ze zelf te maken.
Hoogwaardige datasets
Nienke Bakx: “Elders in de wereld is dat al wel voor onder meer prostaatkanker en kanker in het hoofd-halsgebied gebeurd, maar nog niet eerder voor borstkanker. Ik heb eerst uitgezocht welke analysemodellen en algoritmen gebruikt zijn voor die andere gebieden.”
Twee gevalideerde softwaremodellen sprongen eruit: het open source U-Net-model, dat uitgaat van convolutional neural networks, CNN’s. Het model graaft heel simpel gezegd steeds dieper en gerichter in data. En het cARF model, waarbij cARF staat voor contextual Atlas Regression Forest.
Dat laatste model is gebruikt en getraind door RaySearch Laboratories (RS), een Zweeds medisch-technologisch bedrijf dat overal ter wereld met kankerinstituten samenwerkt aan betere behandelmethoden. Het Catharina Ziekenhuis gebruikt de RS-software.
95 procent bruikbaar
Beide modellen vulde Nienke Bakx met data uit ruim honderd patiëntenbehandelplannen. De getrainde modellen werden vervolgens tijdens een klinische pilot getest met data van twintig compleet nieuwe patiënten. Radiotherapeuten en laboranten maakten met de hand hun plannen voor die twintig patiënten en legden die naast de automatisch gegeneerde plannen om de software nog verder te optimaliseren. Hoe beter de input, hoe beter de output.
Dat gaf een heel goed resultaat: 95 procent van wat de computer bedacht, bleek te gebruiken zonder enige handmatige aanpassing. Uit de voorspellingen van de benodigde doses bleken ook heel goed de uiteindelijke machineparameters af te leiden.
Het U-Net-model scoorde net wat beter dan het cARF-model, wat voor RaySearch reden is om dat U-Net-model in de RayStation-software voor planning van radiotherapiepatiënten te gaan gebruiken. Ze werken aan een nieuwe module voor borstbestraling.
Consensus
Nienke Bakx overlegde steeds uitgebreid met de radiotherapeuten en laboranten: wat vonden zij van de plannen, zouden ze deze ook echt gaan gebruiken? Dat is belangrijk voor de acceptatie van de nieuwe werkwijze. Sommige specialisten vonden de modellen nooit beter, anderen juist wel.
Hurkmans: “Dit project gaat niet alleen over het toepassen van AI en het gebruik van de juiste algoritmen. Het geeft ook veel inzicht in hoe mensen in de praktijk ermee omgaan en wat ze belangrijk vinden. Het is heel belangrijk om consensus te verkrijgen. We hebben gemerkt dat er in hun hoofden nog meer informatie zit. Die willen we er ook nog uithalen en verwerken. We willen nog helderder krijgen wat ze precies willen. Die onderlinge discussies leiden nu al tot kwaliteitsverbetering.”
Mijlpaal
Inmiddels ligt er een compleet getraind, gevalideerde werkmodel dat vanaf mei ook live gaat in de klinische praktijk. Een mooie mijlpaal. Overigens controleren de radiotherapeuten en laboranten alles wat automatisch opgesteld wordt. Ze kunnen dus zelf makkelijk nog wat aanpassen als ze dat willen.
De computer geeft in de nabije toekomst ook aan over welke punten in het plan hij misschien net wat minder zeker van zijn zaak is, zodat een mensenoog daar nog eens goed naar kan kijken.
“Mensen hoeven niet bang te zijn dat ze geen werk meer hebben. Wat we kunnen standaardiseren en automatiseren, doen we. Dan kunnen medewerkers zich focussen op waar ze goed in zijn, zoals patiëntgesprekken voeren of werken aan verdere verbeteringen”, benadrukt Hurkmans.
Gedrevenheid
Ook voor het automatisch intekenen van de organen en kliergebieden ligt het model klaar en komt er nu een klinische pilot. Nienke Bakx is blij dat wat ze in haar master en haar QME-periode gedaan heeft nu echt de klinische praktijk in gaat.
Ze was de eerste QME-trainee op de afdeling radiotherapie en dat is heel goed bevallen, zegt Hurkmans. “Zij combineert kennis van zaken over imaging, artificiële intelligentie en algoritmen met accuratesse, gedrevenheid en enthousiasme. We staan altijd open voor studenten en QME’ers. We hebben nog veel meer vragen. We willen die inzet van AI nu ook voor andere kankersoorten zoals longtumoren onderzoeken.”

Meer info
De studie van Nienke Bakx heet ‘Clinical evaluation of two AI models for automated breast cancer plan generation’ en is na te lezen.
Meer informatie over onze PDEng-opleiding Qualified Medical Engineer is hier te vinden.
Dit is een bewerkte versie van een artikel van Lucy Holl dat is verschenen in FMT Gezondheidszorg 2022 #1.