Fractured collarbone or clavicle children (Folder)
5623 EJ Eindhoven
040 - 239 91 11
Fractured collarbone or clavicle children (Folder)
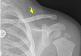
Your child has a fractured collarbone (clavicle). This fracture is treated with a sling.

Summary
- Your child has a fractured collarbone.
- This type of injury almost always heals well without any loss of function.
- A routine follow-up is not necessary for this type of injury.
- You can remove the sling as soon as your child’s pain allows you to do this. During the night you do not have to wear the sling. Use the sling for max. 4 weeks
- To prevent the shoulder from getting stiff, it is important that your child starts moving the shoulder and arm as soon as possible. Only use the shoulder when the pain allows this.
- You can find instructions on how to reapply the sling in the app in the App store (iPhone) or Google Store (Android). See the QR-code for more information online.
- If you have any questions, or are experiencing problems with your recovery, you can call the “Breuklijn” (fracture hotline) (+31) 040 239 96 40 on workdays between 9:00 – 12:00.
Treatment
A fractured collarbone is a common injury in children. The fracture is treated with a sling. If your child is young and won’t wear the sling, this is not a problem. Collarbone fractures almost always heal without any problems or complications.
| Time | Treatment |
| 0-4 weeks | Wear the sling, remove it as soon as your child’s pain allows this. |
| 4- 6 weeks | Let your child move the shoulder if the pain allows this. |
| After 6 weeks | Gradually start sports. |
Instructions
Follow these instructions for a good recovery.
- The sling keeps your child’s arm in a comfortable position for a few days to weeks.
- You can remove the sling as soon as your child’s pain allows you to do this. During the night you do not have to wear the sling. Use the sling for a maximum of 4 weeks.
- To prevent a stiff shoulder it is important that your child starts moving his/her shoulder as soon as possible. Only use the shoulder when your child’s pain allows you to do this.
- Activities such as sports can be done after 6 weeks when your child’s pain allows you to do this. It is no problem to wait longer with these activities.
- Is your child in pain? Use a mild pain killer such as paracetamol (acetaminophen). Do not wait with the use of paracetamol until the pain is too much.
Recovery
- This type of injury almost always heals well with time and use – no specific treatment is required and routine follow-up is unnecessary.
- As the bone heals, a bump may appear over the fracture. This is normal, it is the result of bone healing. This does not affect the function of your child’s shoulder.
- Does the pain increase, or does it not improve? Please contact the “Breuklijn” (fracture hotline).
- Physiotherapy is not necessary. If you are not satisfied with the function of your child’s shoulder after 6 weeks, you can ask for a referral to a physiotherapist from your general practitioner. However, a referral is not required.
Reapply the sling
Instructions on how to reapply the sling can be found in the app.
Exercises
To prevent a stiff shoulder it is important that your child starts moving the shoulder as soon as possible. Only use the shoulder when the pain allows you to do this. No specific exercises are necessary.
Questions? Please call us!
If there are any questions after reading the information, please contact the Breuklijn at 040 239 96 40 between 09.00 and 12.00.
In case of an emergency or problems that cannot wait until the next weekday, please contact our emergency department at 040 – 239 96 00
Contact
Catharina Ziekenhuis Eindhoven
040 – 239 91 11
catharina-ziekenhuis.vk10.nl
Breuklijn (Fracture hotline)
(+31) 040 239 96 40 (on workdays 9.00 – 12.00h)
Route numbers and other information about our emergengy department can be found at: catharina-ziekenhuis.vk10.nl/spoedeisende-hulp
App Virtual Fracture Care
In our app you can find more information about your injury. You can also find exercises here to improve your recovery. You can find the app in the Appstore (iPhone) and in the Google Store (Android).
You can also scan the QR-code. You will then automatically be directed to the app.
