Gebroken sleutelbeen bij volwassene Clavicula fractuur (Folder)
5623 EJ Eindhoven
040 - 239 91 11
Gebroken sleutelbeen bij volwassene Clavicula fractuur (Folder)
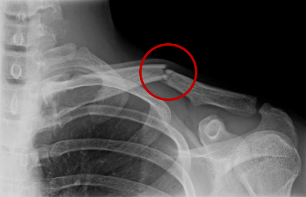
U heeft een breuk in het sleutelbeen (clavicula), waarbij de stand van de botten voldoende is voor een goed herstel. De breuk zit in het middelste deel van uw sleutelbeen. De behandeling bestaat uit een soort draagband (sling), een korte rustperiode en specifieke oefeningen voor de schouder.
Samenvatting
|
De behandeling
Uw breuk zit in het middelste gedeelte van het sleutelbeen. Deze breuk komt vaak voor en dit herstelt meestal zonder problemen. De behandeling bestaat uit een sling, een korte rustperiode en het doen van specifieke oefeningen. Zo heeft u minder pijn, geneest de breuk het snelst en verkleint u de kans op blijvende klachten.

|
Eerste week |
|
|
Week 1-3 |
|
|
Week 3-6 |
|
|
Vanaf week 6 |
|
Instructies
Voor een goede genezing zijn de volgende instructies belangrijk:
- Heeft u een sling gekregen? Dan mag u deze de eerste 3 weken dragen om het sleutelbeen rust te geven. Als u gaat slapen mag u de sling afdoen.
- Instructies voor het opnieuw aanbrengen van de sling kunt u vinden in de Virtual Fracture Care app.
- U mag vanaf het bezoek aan het ziekenhuis starten met het oefenen op geleide van de klachten. Het is belangrijk dat u op tijd start met oefenen om stijfheid van de schouder te voorkomen. De oefeningen en instructies kunt u vinden in de Virtual Fracture Care app of in de folder. Bouw de oefeningen in een rustig tempo volgens de instructies.
- Oefen uw arm en schouder op geleide van uw klachten. Dat betekent dat u de arm en schouder kunt gebruiken zolang u de pijn kunt verdragen.
- De eerste 6 weken mag u niet sporten. Daarna kunt u dit, op basis van pijnklachten, langzaam opbouwen. Het kan soms tot 3 maanden duren voordat u klachtenvrij kunt sporten.
- Fysiotherapie is meestal niet nodig. Als u na 6 weken ontevreden bent over de functie van uw schouder, dan kunt u een fysiotherapeut inschakelen.
- Heeft u pijn? Gebruik dan paracetamol. Wacht niet met paracetamol nemen totdat u te veel pijn heeft. Neem het altijd verspreid over de dag in. U kunt maximaal 4x per dag 2 tabletten van 500 mg paracetamol innemen op vaste tijden. Als paracetamol niet voldoende werkt tegen de pijn, kunt u hier bovenop de extra pijnstillers gebruiken die u op de spoedeisende hulp heeft meegekregen. Gebruik deze altijd volgens de instructies van de arts.
Herstel
- Een controle op de polikliniek is in principe niet nodig. De breuk geneest meestal binnen enkele weken volledig. Het kan tot 6 weken duren voordat u de arm en de schouder weer volledig kunt belasten.
- Nadat de breuk is hersteld kan er een bobbel overblijven op de plek waar het sleutelbeen gebroken was. Dit hoort bij de genezing en vermindert de functie niet. In sommige gevallen blijft deze bobbel bestaan.
- Wordt de pijn erger of is de pijn na 3 weken niet minder? Neem dan contact op met de breuklijn. Als een controle dan toch nodig is, maken we een afspraak.
- Als er tijdens het herstel vragen of problemen zijn, kunt u op werkdagen van 9.00 – 12.00 uur contact met ons opnemen via de Breuklijn +31 (0)40 – 239 96 40.
Oefeningen
Na een breuk van het sleutelbeen kan er stijfheid en krachtsverlies van de schouder optreden. Hieronder staan specifieke oefeningen die u kunt doen om dit zo veel mogelijk te voorkomen. Deze kunt u ook vinden in de Virtual Fracture Care app.
Belangrijk! Forceer niets tijdens het oefenen. Pijn kan een teken zijn van overbelasting. Als u pijn voelt, stop dan met oefenen. U mag wel vermoeidheid of spierpijn voelen.
Start de oefeningen rustig en gecontroleerd op, op geleide van de pijn. Beweeg de arm niet boven de schouder in de eerste 3 weken. Houd de eerste week de sling om ter ondersteuning. U mag deze daarna af doen als de pijn dit toelaat. Probeer op geleide van de pijn de sling steeds vaker af te houden. Blijf de oefeningen van de voorgaande weken herhalen.
Ga pas verder naar de volgende stap in de oefeningen als u de eerdere oefeningen kunt uitvoeren.
Wanneer welke oefening?
Week 1
- Beweeg de vingers en de pols(evt. ondersteund door de sling) door 10 tot 15 keer per dag een vuist te maken en deze te buigen en te strekken met uw pols.

- Strek en buig uw elleboog 10 tot 15 keer per dag.
- Druk uw onderarm, tegen de buik. Houd dit een aantal seconden vol en laat los.
- Druk uw bovenarm tegen de zijkant van uw borstkas. Let erop dat uw onderarm tegen uw buik aanligt. Houd dit een aantal seconden vol en laat los.
- Ga iets gebukt voorover staan en maak kleine cirkelbewegingen met de elleboog (pendelbeweging) (1).
Week 2
- Herhaal deze dagelijks 10-15 keer achter elkaar, 3 tot 4 keer per dag.
- Druk uw gestrekte arm tegen de zijkant van uw lichaam. Houd dit een aantal seconden vol en laat los (2).
- Ga iets gebukt voorover staan en laat uw arm gestrekt naar beneden hangen. Maak kleine cirkelbewegingen links- en rechtsom (3).
|
|
- Buig en strek de elleboog, terwijl u gebukt voorover staat (4).
- Herhaal deze dagelijks 10-15 keer achter elkaar, 3 tot 4 keer per dag.
Week 3-4
- (Loop) met de hand over uw borstkas naar de gezonde schouder en probeer het schouderblad aan te tikken. Ondersteun uw elleboog met uw andere hand (5).
- Plaats uw handen tegen elkaar voor uw borstkas en zet ze tegen elkaar. U voelt de spieren aan de voorkant van uw schouder aanspannen (6).
- Strek uw arm. Breng deze naar voren en til omhoog tot schouderhoogte (7). Probeer de arm hier even vast te houden.
- Til uw gestrekte arm naar opzij tot aan schouderhoogte. Maak eventueel gebruik van een muur om wat steun te hebben (8). Probeer de arm hier even vast te houden.
- Beweeg de arm rustig met een gestrekte of gebogen elleboog naar achteren (9).
- Wissel de oefeningen af. Herhaal deze dagelijks 10-15 keer achter elkaar, 3 tot 4 keer per dag.
![]() |
![]() |
Week 5-6
- Herhaal de oefeningen uit week 3-4 waarbij u de arm nu rustig boven het niveau van de schouder tilt. U mag uw arm zo ver bewegen als de pijn toelaat.
- Wissel de oefeningen af en voer deze uit in een rustig tempo. Herhaal deze dagelijks 10-15 keer achter elkaar, 3 tot 4 keer per dag.
Vanaf week 6
- U mag de schouder weer gaan gebruiken zoals u deed voor de breuk. Houd de oefeningen aan van de voorgaande weken week totdat u het idee heeft dat u weer hetzelfde kunt als uw voor de breuk kon.
- Zwemmen is een goede oefening om de schouderfunctie weer op het oude niveau te krijgen.
- Als u het idee heeft dat u minder oefeningen kunt doen door minder kracht of pijn, is begeleiding door een fysiotherapeut aanbevolen. Dit kunt u met of zonder doorverwijzing via de huisarts zelf regelen.
Vragen?
Heeft u na het lezen van deze informatie nog vragen? Stel uw vraag via de Breuklijn van CZE.
App Virtual Fracture Care
In onze app vindt u meer informatie over uw letsel. Ook kunt u oefeningen vinden om het herstel te bevorderen. De app kunt u zowel in de Appstore (iPhone) als de Google Store (Android) vinden.
U kunt ook de QR-code scannen. U wordt dan automatisch naar de app verwezen.

Contact
Breuklijn
T +31 (0)40 – 2399640 (op werkdagen 9.00 – 12.00 uur)


