Gebroken vijfde middenhandsbeentje (Folder)
5623 EJ Eindhoven
040 - 239 91 11
Gebroken vijfde middenhandsbeentje (Folder)
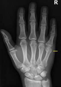
U heeft een breuk in het vijfde middenhandsbeentje (metacarpalia). De breuk zit in de buurt van de knokkel van uw pink. We behandelen deze breuk met tape en drukverband.

Samenvatting
- U heeft een breuk in het middenhandsbeentje van uw pink.
- Deze breuk herstelt doorgaans zonder restklachten.
- We maken geen standaard poliklinische controle afspraak, deze is over het algemeen niet nodig.
- U kunt het drukverband in de eerste week verwijderen zodra de pijn dit toelaat. De buddy tape kunt u na de eerste en voor de derde week verwijderen indien de pijn dit toelaat.
- Het is belangrijk uw vinger te bewegen zodra dit kan, om stijfheid te voorkomen
- Geschikte oefeningen vindt u in deze folder of in de app in App Store (iPhone) of Google Store (Android). Zie de QR-code voor meer informatie online.
- Als er tijdens het herstel vragen of problemen zijn, kunt u op werkdagen van 09:00 – 12:00 uur contact met ons opnemen via de Breuklijn: 040 – 239 96 40.
De behandeling
Een gebroken middenhandsbeentje komt vaak voor. We behandelen u met tape, ook wel buddy tape genoemd, of er wordt een buddy loop gemaakt van klittenband. Daarnaast krijgt u drukverband om de breuk te ondersteunen. Zo heeft u minder pijn en geneest de breuk het snelst.
| Tijd | Behandeling |
| 0-1 weken | Drukverband verwijderen zodra de pijn dit toelaat Buddy tape blijven dragen |
| 1-3 weken | Buddy tape verwijderen zodra de pijn dit toelaat |
| 3-6 weken | Hand vrij bewegen |
| Na 6 weken | U mag weer sporten en gymmen |
Instructies
Volg de volgende instructies voor een zo goed mogelijke genezing.
- Gebruik de hand zo normaal mogelijk, ook terwijl u drukverband en buddytape heeft. Gebruik de hand op geleide van pijnklachten. Dit betekent dat u de hand kunt gebruiken, zolang u de pijn kunt verdragen.
- Als de pijn onder controle is, mag u het drukverband verwijderen. De buddy tape draagt u minimaal één week en mag u na maximaal 3 weken verwijderen. Dit kan zodra de pijn het toelaat.
- Gebruik nieuw verband en tape wanneer u denkt dat dit nodig is, bijvoorbeeld voor hygiëne. U kunt nieuw materiaal kopen bij de drogist. Als het verband los is gegaan, kunt u het opnieuw gebruiken. In de app kunt u vinden hoe u het drukverband en de buddytape opnieuw moet aanleggen.
- Heeft u pijn? Gebruik dan paracetamol. Wacht niet met paracetamol nemen totdat u te veel pijn heeft. Neem het altijd verspreid over de dag in. U kunt maximaal 4x per dag 2 tabletten van 500 mg paracetamol nemen op vaste tijden.
- Na 6 weken mag u weer beginnen met sporten en gymmen, als de pijn dit toelaat. Doet uaan vechtsport? Wacht dan nog 2-4 weken langer voordat u weer begint.
De breuk zit dicht bij uw gewricht. Begin zo snel mogelijk met bewegen om te voorkomen dat uw hand stijf wordt (risicofactor bij deze breuk). Oefeningen kunt u vinden in de app en achteraan deze folder.
Herstel
- Een controle op de polikliniek is in principe niet nodig. De breuk geneest meestal binnen enkele weken volledig. Het kan tot 6 weken duren voordat u de hand weer kunt gebruiken.
- Nadat de breuk is hersteld, kan het voorkomen dat de knokkel iets minder goed zichtbaar is. Ook kan het middenhandsbotje iets korter zijn dan voor het letsel. Beide belemmeren de functie van de hand niet.
- Fysiotherapie is meestal niet nodig. Bent u na 6 weken ontevreden over de functie van uw pols, dan kunt u via de huisarts een verwijzing voor de fysiotherapie vragen. Een verwijzing is niet verplicht. In de app staan oefeningen om beter te herstellen.
- Neemt de pijn erg toe, of is de pijn na 3 weken niet minder? Neem dan contact op met de Breuklijn. Als een controle dan toch nodig is, maken we een afspraak.
Gebroken 5e middenhandsbeentje oefeningen
Na een breuk van de vingers kan stijfheid en krachtsverlies optreden. Onderstaande oefeningen helpen om dit tegen te gaan.
Instructies
Volg onderstaande instructies:
- Doe de oefeningen minstens 3x per dag
- Voer elke oefening 10 tot 15x uit
- U kunt hierbij de kracht en belasting steeds verder vergroten.
- U kunt eventueel in warm water oefenen en met hulpmiddelen, zoals een stressballetje.
- Gebruik uw hand zo normaal mogelijk, hiermee oefent u de vinger(s) ook.
Buigen en strekken van de vingers
Bij deze oefening buigt en strekt u de vingers. U kunt direct beginnen met oefenen, als de pijn dit toelaat.
Buigen en strekken van de vingers
Bij deze oefening buigt en strekt u de vingers. U kunt direct beginnen met oefenen, als de pijn dit toelaat.

Daarna kunt u actief oefenen, dat wil zeggen dat u zonder hulp van uw andere hand de vingers buigt en strekt.

Vragen? U kunt ons gewoon bellen!
Heeft u na het lezen van deze folder nog vragen? Neem dan tussen 09.00 en 12.00 contact op met de Breuklijn. (040-239 96 40)
Wanneer u buiten kantoortijden dringende vragen heeft die niet kunnen wachten tot de volgende dag, kunt u de Spoedeisende Hulp bellen. (040-239 96 00)
Opleidingsziekenhuis
Het Catharina Ziekenhuis is een opleidingsziekenhuis. Wij leiden artsen, verpleegkundigen en andere zorgverleners op. Dit betekent dat ook een zorgverlener in opleiding uw behandeling, onderzoek of operatie kan uitvoeren. Maar dit is niet altijd zo. Uw veiligheid staat altijd bij ons voorop. Als een zorgverlener in opleiding u helpt, werkt deze altijd onder begeleiding van een gediplomeerd zorgverlener. Als u niet wilt dat een zorgverlener in opleiding u helpt, dan kunt u dit met uw arts bespreken.
Contactgegevens
Catharina Ziekenhuis Eindhoven
040 – 239 91 11
catharina-ziekenhuis.vk10.nl
Breuklijn
040-239 96 40
Routenummer(s) en overige informatie over de Spoedeisende Hulp kunt u terugvinden op catharina-ziekenhuis.vk10.nl/spoedeisende-hulp
App Virtual Fracture Care
In onze app vindt u meer informatie over uw letsel. Ook kunt u oefeningen vinden om het herstel te bevorderen. De app kunt u zowel in de App Store (iPhone) als de Google Store (Android) vinden.
U kunt ook de QR-code scannen. U wordt dan automatisch naar de app verwezen.

