test test

Twijgbreukje in pols bij kinderen (greenstick) (Folder)

Chirurgie Kindergeneeskunde Orthopedie Spoedeisende Hulp / Spoedpost
Michelangelolaan 2
5623 EJ Eindhoven

040 - 239 91 11
Catharina een Santeon ziekenhuis

Twijgbreukje in pols bij kinderen (greenstick) (Folder)

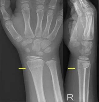
Uw kind heeft een kleine breuk in de ellepijp of het spaakbeen ter hoogte van de pols (greenstick fractuur). Het is een knikje in het bot. We behandelen dit met een brace en een sling. Dit is een soort mitella.

Samenvatting

  • Uw kind heeft een kleine breuk (knikje) in de ellepijp of het spaakbeen ter hoogte van de pols (twijgbreuk).
  • Deze breuk herstelt doorgaans zonder restklachten.
  • We maken geen standaard poliklinische controle afspraak, dit is over het algemeen niet nodig.
  • De sling kan verwijderd worden zodra de pijn dit toelaat. De brace mag na 2 weken verwijderd worden. Indien uw kind dan nog teveel pijn heeft kan het gebruik van de brace en de sling in de derde week afgebouwd worden.
  • Om stijfheid van de pols te voorkomen is het belangrijk dat uw kind na 1-2 weken begint met bewegen van de pols.
  • Een instructievideo voor het opnieuw aanbrengen van de brace kunt u vinden in de app in App Store (iPhone) of Google Store (Android). Zie QR-code voor meer informatie online.
  • Als er tijdens het herstel vragen of problemen zijn, kunt u op werkdagen van 09:00 – 12:00 uur contact met ons opnemen via de Breuklijn: 040 – 239 96 40.

De behandeling

Deze greenstick fractuur van de pols of onderarm komt vaak voor bij kinderen. Het wordt ook wel een twijgbreukje genoemd, omdat het knikje in het bot lijkt op het buigen van een flexibel takje van een boom. We behandelen deze breuk met een afneembare brace en een sling. Dit is een soort mitella.

Tijd  Behandeling
0-2 weken Sling, verwijderen zodra de pijn het toelaat

Brace nog blijven dragen

2-3 weken Brace, verwijderen zodra de pijn het toelaat
3-5 weken Vrij bewegen van de pols
Na 5 weken Uw kind kan weer sporten en gymmen

Instructies

Volg de volgende instructies voor een zo goed mogelijke genezing.

  • De brace en sling houden de arm in een prettige positie.
  • Uw kind mag de sling afdoen zodra de pijn dat toelaat. De brace mag na 2 weken verwijderd worden. Heeft uw kind na 2 weken nog te veel pijn? Dan mag uw kind het gebruik van de brace en sling in de derde week langzaam afbouwen. Daarna moet de brace afblijven.
  • De breuk zit dicht bij de pols. Daarom is het belangrijk dat uw kind na 1 tot 2 weken begint met bewegen. Dat voorkomt stijfheid van de pols en het bevordert de genezing en het herstel.
  • Na 3 weken mag uw kind voorzichtig weer alle activiteiten uitvoeren. Dit is op geleide van pijnklachten, dus alleen als hij de pijn kan verdragen. Als het niet lukt, kan uw kind beter nog even wachten.
  • Tijdens het douchen mag de brace even worden verwijderd. Let er op dat de arm helemaal droog is voordat uw kind de brace weer omdoet. Instructies over het opnieuw aanbrengen van de brace kunt u vinden in de app.
  • Heeft uw kind pijn? Gebruik dan paracetamol. Wacht niet met paracetamol geven totdat uw kind te veel pijn heeft. Verspreid het geven van paracetamol over de dag.

Herstel

  • Een controle op de polikliniek is in principe niet nodig. De breuk geneest meestal binnen enkele weken volledig.
  • Blijft uw kind pijn houden of blijft de pols minder goed functioneren? Neem dan contact op met de Breuklijn. Als een controle dan toch nodig is, maken we een afspraak.

Herstel

Het is belangrijk dat uw kind de pols beweegt zodra de pijn dit toelaat. Met het normaal bewegen van de pols, oefent uw kind de pols ook. Specifieke oefeningen zijn niet nodig.

Brace opnieuw omdoen

Als u de brace heeft afgehaald, bijvoorbeeld om te douchen, ziet u in dit filmpje hoe u deze weer om moet doen:

Vragen? U kunt ons gewoon bellen!

Heeft u na het lezen van deze folder nog vragen? Neem dan tussen 09.00 en 12.00 contact op met de Breuklijn. (040-239 96 40)
Wanneer u buiten kantoortijden dringende vragen heeft die niet kunnen wachten tot de volgende dag, kunt u de Spoedeisende Hulp bellen. (040-239 96 00)

Contactgegevens

Catharina Ziekenhuis Eindhoven
040 – 239 91 11
catharina-ziekenhuis.vk10.nl

Breuklijn
040-239 96 40
Routenummer(s) en overige informatie over de Spoedeisende Hulp kunt u terugvinden op catharina-ziekenhuis.vk10.nl/spoedeisende-hulp

App Virtual Fracture Care

In onze app vindt u meer informatie over uw letsel. Ook kunt u oefeningen vinden om het herstel te bevorderen. De app kunt u zowel in de App Store (iPhone) als de Google Store (Android) vinden.

U kunt ook de QR-code scannen. U wordt dan automatisch naar de app verwezen.


© 2026 Catharina Ziekenhuis
Alle rechten voorbehouden