Lumbale kanaalstenose (Folder)
5623 EJ Eindhoven
040 - 239 91 11
Lumbale kanaalstenose (Folder)
De wervelkolom en de zenuwwortels
De wervelkolom bestaat uit 24 wervels, keurig op elkaar gestapeld. Hierdoor ontstaat een holle buis tussen de wervellichamen en de wervelboog, het wervelkanaal genoemd. Door dit kanaal loopt het ruggenmerg, eigenlijk is het ruggenmerg een voorzetting van de hersenen. Uit het ruggenmerg komen zenuwen die naar de armen en benen lopen. De zenuwwortels in de onderrug (‘lumbale deel’) zorgen voor de kracht en het gevoel in beide benen

In het lumbale deel van de wervelkolom lopen de zenuwwortels, die bij een lumbale stenose beklemd zijn
Wat is het?
Bij een lumbale kanaalstenose is er sprake van een vernauwing (stenose) van het wervelkanaal ter hoogte van de (lumbale) lendenwervels. Deze aandoening komt met name bij ouderen vaak voor.
Wat zijn de klachten?
Patiënten met een lumbale kanaalstenose hebben klachten van lage rugpijn die uitstraalt in één of beide benen. Typisch voor de klachten is dat ze optreden tijdens het lopen of na enige tijd staan.
Naarmate men langer loopt of staat nemen de klachten in ernst toe: de rug en beenpijn wordt erger, de benen voelen doof aan en ze zijn moeilijk te sturen. Om de klachten af te laten nemen moeten men gaan zitten, vooroverbuigen of hurken. De klachten treden niet op tijdens fietsen of zitten, en slechts zelden ’s nachts.
Wat is de oorzaak?
De klachten van een lumbale kanaalstenose worden veroorzaakt door een vernauwing van het onderste gedeelte van het wervelkanaal. Deze vernauwing is vaak het gevolg van artrose (slijtage van de gewrichten binnen de wervelkolom). Artrose is een normaal verouderingsverschijnsel dat bij iedereen in meer of mindere mate optreedt. Als reactie op artrose verdikken de wervels en de bindweefselbanden van de wervelkolom. Bij slijtage/afplatting van de tussenwervelschijven kunnen deze gaan uitpuilen in het wervelkanaal. Al deze veranderingen gaan ten koste van de wijdte van het wervelkanaal (zie figuur 1 en 2). Daardoor blijft er minder ruimte over voor de zenuwwortels die vanuit het wervelkanaal/de rug naar de benen lopen.
De wijdte van het wervelkanaal is deels houdingsafhankelijk: tijdens lopen en staan is de onderrug hol en het wervelkanaal op zijn smalst. Bij patiënten met een kanaalstenose treedt daarom in die situaties (na enige tijd lopen of staan) beknelling van de zenuwwortels op. Dit leidt tot de eerder beschreven klachten. Door de rug bol te maken (vooroverbuigen, zitten, hurken) wordt het wervelkanaal wijder en is er meer ruimte voor de zenuwwortels: de klachten nemen dan af.
Tot slot speelt een rol dat de aangeboren wijdte van het wervelkanaal van mens tot mens sterk varieert. Mensen met een van nature nauw wervelkanaal kunnen op relatief jonge leeftijd klachten ontwikkelen.

Hoe wordt de diagnose gesteld?
De diagnose wordt vermoed op basis van het klachtenpatroon. Het neurologisch onderzoek laat soms tekenen zien van een zenuwwortel-beknelling (bijvoorbeeld pijn tijdens het oprekken van de zenuw of afwijkende reflexen aan de benen), maar kan ook volledig normaal zijn.
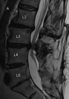
Een MRI scan van de onderrug kan aantonen of er ook daadwerkelijk sprake is van een abnormale vernauwing van het wervelkanaal. Bij patiënten die geen MRI scan kunnen ondergaan, bijvoorbeeld omdat zij een pacemaker hebben, is het maken van een CT scan (met contrastmiddel) een goed alternatief.


MRI’s met een vernauwing van het wervelkanaal (”umbale stenose’)
Wat kun je eraan doen?
Afhankelijk van de ernst van de klachten kan worden gekozen voor een afwachtend beleid , voor houdingsoefeningen via fysio- of Mensendiecktherapeut of kan worden verwezen naar de neurochirurg voor een kanaalverwijdende operatie. In sommige gevallen kan verdoving van de aangedane zenuwwortels door de anesthesist leiden tot een (tijdelijke) afname van de klachten
Meer weten?
www.nvvn.org (de website van de Nederlandse Vereniging Voor Neurochirurgie)
https://www.nvvn.org/patienteninfo/wervelkolom-en-ruggenmerg/lumbale-stenose-vernauwing-in-onderrug/
Opleidingsziekenhuis
Het Catharina Ziekenhuis is een opleidingsziekenhuis. Wij leiden artsen, verpleegkundigen en andere zorgverleners op. Dit betekent dat ook een zorgverlener in opleiding uw behandeling, onderzoek of operatie kan uitvoeren. Maar dit is niet altijd zo. Uw veiligheid staat altijd bij ons voorop. Als een zorgverlener in opleiding u helpt, werkt deze altijd onder begeleiding van een gediplomeerd zorgverlener. Als u niet wilt dat een zorgverlener in opleiding u helpt, dan kunt u dit met uw arts bespreken.
Verhinderd
Kunt u niet naar uw afspraak komen? Geef dit dan zo snel mogelijk door aan de afdeling Neurologie. Het telefoonnummer van de afdeling vindt u onder het kopje ‘Contactgegevens’. Er kan dan een andere patiënt in uw plaats komen.
Vragen
Heeft u na het lezen van deze folder vragen, neem dan contact op met de afdeling Neurologie.
Contactgegevens
Catharina Ziekenhuis
040 – 239 91 11
catharina-ziekenhuis.vk10.nl
Afdeling Polikliniek neurologie
040 – 239 9400
Routenummer(s) en overige informatie over de polikliniek neurologie vindt u op catharina-ziekenhuis.vk10.nl/neurologie
(Bron: Vereniging voor Neurologie)