Radial head or radial neck fracture (Folder)
5623 EJ Eindhoven
040 - 239 91 11
Radial head or radial neck fracture (Folder)
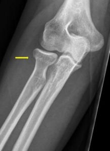
You have a small fracture of the head or neck of your radius, which is one of the bones in your elbow. We treat this fracture with a pressure bandage and a sling.

Summary
- You have a small fracture of the radius bone at the level of the elbow.
- This type of injury almost always heals well without any loss of function.
- A routine follow-up is not necessary for this type of injury.
- It is important that you remove the sling and pressure bandage after a maximum of one week (if pain allows this) and that you start exercising to avoid stiffness in the elbow.
- You can find exercises for your elbow in this folder or in the app in the App store (iPhone) or Google Store (Android). See the QR-code for more information online.
- If you have any questions, or are experiencing problems with your recovery, you can call the “breuklijn” (fracture hotline) (+31) 040 139 96 40 on workdays between 9.00 and 12.00.
Treatment
A fracture of the radial head or neck is a common injury. The fracture is treated with a pressure bandage and a sling.
| Time | Treatment |
| 0-1 week | Wear a sling, remove it as soon as your pain allows this. Wear a pressure bandage, remove it as soon as your pain allows this. |
| 1-4 weeks | Start exercises: bend, extend and rotate your arm. Move your arm as much as your pain allows. |
| 4-6 weeks | Move your elbow in all directions, when your pain allows it. |
| After 6 weeks | You can start sports. |
Instructions
Follow these instructions for a good recovery.
- Wear a pressure bandage and sling, this will keep your arm in a comfortable position.
- You do not need the pressure bandage and sling after one week. We advise you to stop using the sling after one week, or earlier if the pain allows you to do so. If you are still experiencing a lot of pain after one week, you can wear the pressure bandage for another week.
- You can replace the pressure bandage yourself. You can use the pressure bandage you are currently wearing, or you can buy a new bandage at the pharmacy. You can find instructions on how to reapply the pressure bandage in the app.
- This fracture is close to your elbow joint. Start bending and extending your arm as soon as your pain allows you to do this. This will prevent the elbow from getting stiff. You can find exercises in the app or in this information folder.
- Are you in pain? Use a mild pain killer such as paracetamol (acetaminophen). Do not wait with the use of Paracetamol until the pain is too much.
Recovery
- This type of injury almost always heals well with time and use – no specific treatment is required and routine follow-up is unnecessary.
- It is possible that after 4-6 weeks, the range of motion of your elbow is still slightly reduced. This is unlikely to affect your long-term function and will improve in the months after.
- Physiotherapy is not necessary. If you are not satisfied with the function of your elbow after 6 weeks, you can ask for a referral to a physiotherapist from your general practitioner. However, a referral is not required.
- Does the pain increase, or does it not improve? Please contact the “Breuklijn” (fracture hotline, see below).
Reapply the pressure bandage
In the app you can find instructions on how to reapply the pressure bandage. You can buy new materials at the pharmacy or reuse the materials from the emergency department.
Radial head/neck fracture exercises
After a fracture in the elbow, stiffness and loss of strength can occur. The following exercises can be performed to support your recovery.
Instructions
Follow the instructions below:
- Perform the exercises at least 3 times per day
- Repeat the exercises 10 to 15 times
- You can perform the exercises in warm water.
- Use your hand as normal as possible, this also exercises the elbow.
- Try not to move your shoulder while performing the exercises
- If you are able to easily perform the exercises, you can intensify the exercises by holder a small weight or a bottle water in your hand.
Elbow bend and straighten
After 1 week, you can start to bend and straighten the elbow. Bend and straighten your elbow so you feel a mild to moderate stretch. You can use your other arm to assist. Do not push into pain.

When you can successfully perform this exercise, you can start to bend and straighten the elbow without the use of your other arm.

Forearm rotations
After 4 weeks, you can start forearm rotations. Put your elbow at your side, do not hold it in the air. Bend your elbow to 90 degrees. Slowly rotate your palm up and down until you feel a mild to moderate stretch. You can use your other arm to assist if necessary. Do not push into pain.

Questions? Please call us!
If there are any questions after reading the information, please contact the Breuklijn at 040 239 96 40 between 09.00 and 12.00.
In case of an emergency or problems that cannot wait until the next weekday, please contact our emergency department at 040 – 239 96 00.
Contact
Catharina Ziekenhuis Eindhoven
040 – 239 91 11
catharina-ziekenhuis.vk10.nl
Breuklijn (Fracture hotline)
(+31) 040 239 96 40 (on workdays 9.00 – 12.00h)
Route numbers and other information about our emergengy department can be found at: catharina-ziekenhuis.vk10.nl/spoedeisende-hulp
App Virtual Fracture Care
In our app you can find more information about your injury. You can also find exercises here to improve your recovery. You can find the app in the Appstore (iPhone) and in the Google Store (Android).
You can also scan the QR-code. You will then automatically be directed to the app.
