Torusfractuur (minimaal knikje in de pols) (Folder)
5623 EJ Eindhoven
040 - 239 91 11
Torusfractuur (minimaal knikje in de pols) (Folder)
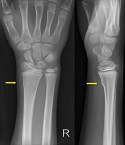
Uw kind heeft een kleine breuk in de ellepijp of het spaakbeen ter hoogte van de pols (torus fractuur). Het is een knikje in het bot. We behandelen het met een brace en een sling. Dit is een soort mitella.

Samenvatting
- Uw kind heeft een kleine breuk in de ellepijp of het spaakbeen ter hoogte van de pols.
- Deze breuk herstelt doorgaans zonder restklachten.
- We maken geen standaard poliklinische controle afspraak, deze is over het algemeen niet nodig.
- De sling kan verwijderd worden zodra de pijn dit toelaat. De brace mag na 1 week verwijderd worden indien de pijn dit toelaat. Indien uw kind dan nog pijn heeft mag het gebruik van de brace ook in de tweede week afgebouwd worden.
- Om stijfheid van de pols te voorkomen, is het belangrijk dat uw kind na 1-2 weken begint met bewegen.
- Een instructievideo voor het opnieuw aanbrengen van de brace kunt u vinden in de app in de App Store (iPhone) of Google Store (Android). Zie de QR-code voor meer informatie online.
- Als er tijdens het herstel vragen of problemen zijn, kunt u op werkdagen van 09:00 – 12:00 uur contact met ons opnemen via de Breuklijn: 040 – 239 9640.
De behandeling
Deze torus fractuur van de pols of onderarm komt vaak voor bij kinderen. We behandelen deze breuk met een afneembare brace en een sling. Dit is een soort mitella.
| Tijd | Behandeling |
| 0-1 week | Sling, verwijderen zodra de pijn het toelaat. Brace nog blijven dragen. |
| 1-2 weken | Brace, verwijderen zodra de pijn het toelaat. |
| 3-4 weken | Vrij bewegen van de pols. |
| Na 4 weken | Uw kind kan weer sporten en gymmen. |
Instructies
Volg de volgende instructies voor een goede genezing.
- De brace en sling houden de arm in een prettige positie.
- Uw kind mag de sling afdoen zodra de pijn dat toelaat. De brace mag na 1 week verwijderd worden. Heeft uw kind na 1 week nog te veel pijn? Dan mag uw kind het gebruik van de brace in de tweede week langzaam afbouwen. Daarna moet de brace afblijven.
- De breuk zit dicht bij de pols. Daarom is het belangrijk dat uw kind na 1 tot 2 weken begint met bewegen. Dat voorkomt stijfheid van de pols en het bevordert de genezing en het herstel.
- Na 3 weken mag uw kind voorzichtig weer activiteiten uitvoeren. Dit is op geleide van pijnklachten, dus alleen als hij de pijn kan verdragen. Als het niet lukt, kan uw kind beter nog even wachten.
- Tijdens het douchen mag de brace even worden verwijderd. Let er op dat de arm helemaal droog is voor u de brace weer omdoet. Instructies over het opnieuw aanbrengen van de brace kunt u vinden in de app.
- Heeft uw kind pijn? Gebruik dan paracetamol. Wacht niet met paracetamol geven totdat uw kind te veel pijn heeft. Neem het altijd verspreid over de dag in.
Herstel
- Een controle op de polikliniek is in principe niet nodig. Meestal geneest de breuk binnen enkele weken volledig.
- Blijft uw kind pijn houden of blijft de pols minder goed functioneren? Neem dan contact op met de Breuklijn. Als een controle dan toch nodig is, maken we een afspraak.
Brace opnieuw omdoen
Als u de brace heeft afgehaald, bijvoorbeeld om te douchen, ziet u in de app hoe u deze weer om moet doen.
Oefeningen
Het is belangrijk dat uw kind de pols beweegt zodra de pijn dit toelaat. Met het normaal bewegen van de pols, oefent uw kind de pols ook. Specifieke oefeningen zijn niet nodig.
Vragen? U kunt ons gewoon bellen!
Heeft u na het lezen van deze folder nog vragen? Neem dan tussen 09.00 en 12.00 contact op met de Breuklijn. (040-239 96 40)
Wanneer u buiten kantoortijden dringende vragen heeft die niet kunnen wachten tot de volgende dag, kunt u de Spoedeisende Hulp bellen. (040-239 96 00)
Contactgegevens
Catharina Ziekenhuis Eindhoven
040 – 239 91 11
catharina-ziekenhuis.vk10.nl
Breuklijn
040-239 96 40
Routenummer(s) en overige informatie over de Spoedeisende Hulp kunt u terugvinden op catharina-ziekenhuis.vk10.nl/spoedeisende-hulp
App Virtual Fracture Care
In onze app vindt u meer informatie over uw letsel. Ook kunt u oefeningen vinden om het herstel te bevorderen. De app kunt u zowel in de App Store (iPhone) als de Google Store (Android) vinden.
U kunt ook de QR-code scannen. U wordt dan automatisch naar de app verwezen.
